CASE STUDY | IRCCS OSPEDALE SAN RAFFAELE · MILANO, ITALY

Excellent Outcomes With Stereotactic Body Radiotherapy in an Elderly Patient With Locally Progressive Immunotherapy-resistant Renal Cell Carcinoma

Authors:

Torrisi, Laura Giannini, Roberta Tummineri, Chiara Lucrezia Deantoni, Andrei Fodor, (IRCCS Ospedale San Raffaele – Milano, Italy)

Purpose:

Systemic therapies, particularly targeted agents and immune checkpoint inhibitors (ICIs), have long been the primary treatment approach for metastatic renal cell carcinoma (mRCC). However, when immune-related toxicities arise, alternative approaches to treatment are required.

Solution:

Technological advancements in radiotherapy, especially stereotactic body radiotherapy (SBRT) has allowed for the precise delivery of high-dose, hypofractionated radiation with steep dose gradients and sub-millimeter accuracy.

Study Design:

Patient
  • 80-year-old male
  • History of hypertension and mild chronic kidney disease
DiagnosisDiagnosed with clear cell RCC and pulmonary metastases
2019
Treatment History
  • Initially treated with nivolumab + ipilimumab (CheckMate 214 protocol)
  • Immunotherapy discontinued due to immune-mediated pancreatitis and nephritis
2021
Treatment History
  • A progressive renal lesion was identified
  • Given patients comorbidities and oligoprogressive status, SBRT was proposed as definitivelocal treatment
TreatmentRadixact SBRT, 36.25 Gy in five consecutive fractions. Daily ClearRT® kVCT imaging for patient alignment (see Figure 1)
Follow-upMinimum of 5-6 months

Treatment Details:

TechnologyCyberKnife® System with Synchrony® Fiducial Tracking™ with Respiratory Modelling
FiducialsFour markers implanted; 3 in and 1 near the tumor
Planning Margins3 mm PTV margin; no CTV margin
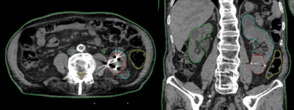
Organs at RiskKidneys, bowel, spinal cord, liver (figure 1)
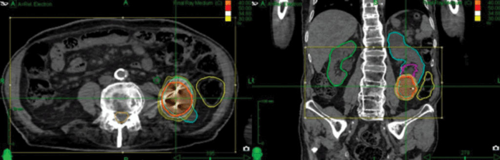
Prescription40 Gy in 5 consecutive fractions over one week (figure 2)
Figure 1: Left renal volume delineation from the treatment CT scan in the axial and coronal planes.
Figure 2: Axial and coronal views from the patient’s SBRT plan illustrating the radiation dose distribution.

Outcomes:

ToxicityNo acute grade ≥2 toxicity reported
Clinical Outcome
  • Lesion size reduced from 38 mm to 30 mm within 3 months
  • Durable disease control observed at 42-month follow-up, despite discontinuation of immunotherapy
Renal FunctionRenal function preserved; creatinine remained stable post-SBRT

Conclusion:

“This case highlights the potential feasibility and safety of SBRT as a local treatment option for RCC in patients with mRCC. The durable disease control observed despite discontinuation of immunotherapy suggests that SBRT may have a valuable role in selected clinical scenarios.”

Torrisi M, Giannini L, Tummineri R, et al. (June 05, 2025) Excellent Outcomes With Stereotactic Body Radiotherapy in an Elderly Patient With Locally Progressive Immunotherapy-Resistant Renal Cell Carcinoma. Cureus 17(6): e85399. doi:10.7759/cureus.85399

Synchrony® is available in the US and EU markets. This feature may not be commercially available in all markets and is subject to regulatory clearance or approval. Kindly contact your regional Accuray representative or distributor to confirm the regulatory status.

Important Safety Information:

Most side effects of radiotherapy, including radiotherapy delivered with Accuray systems, are mild and temporary, often involving fatigue, nausea, and skin irritation. Side effects can be severe, however, leading to pain, alterations in normal body functions (for example, urinary or salivary function), deterioration of quality of life, permanent injury, and even death. Side effects can occur during or shortly after radiation treatment or in the months and years following radiation. The nature and severity of side effects depend on many factors, including the size and location of the treated tumor, the treatment technique (for example, the radiation dose), and the patient’s general medical condition, to name a few. For more details about the side effects of your radiation therapy, and to see if treatment with an Accuray product is right for you, ask your doctor. Accuray Incorporated as a medical device manufacturer cannot and does not recommend specific treatment approaches. Individual results may vary.

© 2025 Accuray Incorporated. All Rights Reserved. Accuray, the Accuray logo, and other trademarks are trademarks or registered trademarks of Accuray Incorporated and may not be used without permission. For more information on Accuray and its trademarks, please visit www.accuray.com/trademarks. MKTCKCSCC280925#10

Medical Affairs

Accuray Medical Affairs serves as your comprehensive resource hub for clinical evidence, and peer collaboration through our user community.

Services

Industry-leading service to support your ongoing success, from speedy install and optimization, to proactive monitoring and unrivalled on-site service, to smart upgrade paths to keep your system at the leading edge.

Solutions

From robotic to helical radiation therapy delivery, we invent unique, market-changing solutions that are designed to deliver radiation treatments across a full spectrum of patient needs.

Treatment Centers

Radiosurgery

Adaptive Radiotherapy

Systems integration

What's New

Your go-to source for staying informed about our advancements.

Why Accuray

Accuray is expanding radiation therapy: our products can deliver it accurately, precisely and effectively, from oncology to neuro-radiosurgery and beyond.