Accuray Stellar

Sorry for the inconvenience

The Accuray Stellar System and Adapt LTE are currently available for the US market and are subject to international regulatory approval or licensing processes such that the availability of these products may vary according to geographical location. If you are outside the US, please talk to your Sales representative about commercially available products in your region.

Adaptive Radiotherapy

Unlocking the Promise of Adaptive Radiotherapy

Adaptive radiotherapy (ART) is expensive, complex and disruptive.  And nobody wants to be left behind.  It has also long been viewed as the ideal solution to one of the fundamental challenges of radiotherapy: the dynamic nature of both the target and the patient.

Accuray delivers groundbreaking innovations making ART possible and practical for every practice and every patient.

Synchrony®: Tracking with Dynamic Delivery

The Pioneer in Real-Time ART Technology

Is real-time ART a future possibility? Or is it already here. The reality is that the Synchrony® technology has been used to deliver real-time adaptive treatments for more than a decade. . Accuray introduced Synchrony more than 15 years ago, pioneering the first real-time treatment delivery adaptation. Synchrony uses advanced algorithms and artificial intelligence (AI) to drive dynamic delivery accounting for both patient and tumor motion — while the patient is on the table, with uninterrupted treatment delivery and without restraints, breath holds, or other restrictive motion management techniques. Accuray continues to advance Synchrony’s capabilities, including extending Synchrony for both the robotic and helical platforms making real-time ART possible and practical for more patients.

PreciseART®

Highly Automated for Offline Adaptive

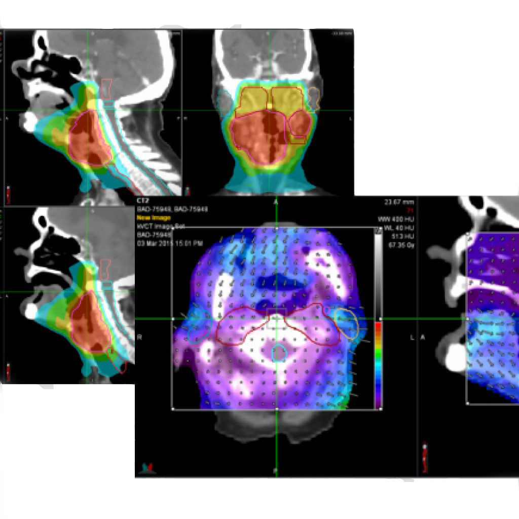
Time remains the most significant barrier to adopting and using ART in more practices and with more patients. Clinical workflows — plan adaptation in particular — are time – and labor-intensive. Accuray-proven PreciseART® software uses advanced automation to streamline and accelerate clinical ART workflows. Automatically monitor protocol-specific action levels, flagging cases for review and possible plan adaptation. Accelerate plan adaptation with contouring adjustments, maintaining the integrity of original treatment plan objectives to ensure tumor coverage, helping minimize dose to organ at risk (OAR) doses and reduce toxicity. Fully integrated offline systems to map daily high-fidelity ClearRT® helical kVCT images to the planning CT make it easier to assess dose distribution variations during the treatment course.  All without placing a heavy burden on clinical teams.

Online Adaptive Ready Interface

Accuray is advancing our legacy of leadership in ART toward the next frontier in adaptive care. With the Accuray Stellar Solution , Accuray reimagines personalization in radiotherapy.

Technology Enablers

ClearRT®***on the Helical Platform

Confident Adaptation with Integrated kVCT Helical Imaging

Clinicians need high-fidelity imaging to guide plan adaptation. ClearRT® brings fully integrated, high-fidelity kVCT imaging to the Radixact® System. ClearRT provides unprecedented soft-tissue visualization that empowers clinicians to see more, know and do more — giving confidence in plan adaptation.

  • Flexible field of views allow for right-sized anatomical imaging and an appropriate spatial resolution
  • Increase patient throughput with faster patient imaging and registration times
  • Confidently evaluate plan adaptation and use images for re-planning, when appropriate, with high-fidelity, HU-accurate image quality for contrast resolution

VOLO™ Ultra

Fast and simple planning experience

VOLO Ultra enables you to accelerate treatment planning and delivery with intuitive, automatic planning methods to streamline workflows. It elevates radiation therapy planning for both TomoHelical™ and TomoDirect™ treatment delivery. A state-of-the-art optimizer simplifies the process of creating treatment plans by leveraging industry-established techniques and user experience. Intuitive planning approach based on weighted cost function optimization eliminates the need for setting of VOI importance and overlap priorities. Automated pitch selection and accelerated treatment time option enables clinicians to efficiently create plans and provide optimal treatment for patients.

PLAN
WITH EASE

OPTIMIZE
WITH QUALITY

DELIVER
WITH EFFICIENCY

*The Accuray Stellar System and Adapt LTE are currently available for the US market and are subject to international regulatory approval or licensing processes such that the availability of these products may vary according to geographical location.

** LTE stands for Learn, Trial, and Evaluate.

*** ClearRT standard only is available on the Accuray Helix™ System.

Accuray Stellar is a configuration of the Radixact® Treatment Delivery System.

Medical Affairs

Accuray Medical Affairs serves as your comprehensive resource hub for clinical evidence, and peer collaboration through our user community.

Services

Industry-leading service to support your ongoing success, from speedy install and optimization, to proactive monitoring and unrivalled on-site service, to smart upgrade paths to keep your system at the leading edge.

Solutions

From robotic to helical radiation therapy delivery, we invent unique, market-changing solutions that are designed to deliver radiation treatments across a full spectrum of patient needs.

Treatment Centers

Radiosurgery

Adaptive Radiotherapy

What's New

Your go-to source for staying informed about our advancements.

Why Accuray

Accuray is expanding radiation therapy: our products can deliver it accurately, precisely and effectively, from oncology to neuro-radiosurgery and beyond.