RADIXACT SYSTEM
Complex Left Breast
SIB and Nodes
Case History
AGE: 76-year-old
GENDER: Male
Medical History
Immidiate tolerance: Grade II dermatitis with eyelid edema, Grade I conjunctivitis resolved with Sterdex
Diagnosis: Squamous cell carcinoma of the right lower eyelid
Planning CT Images


Treatment Plan Images





ClearRT® Images


Treatment Planning Highlights
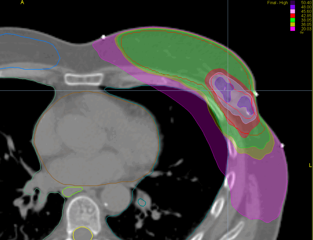
Fractionation / Protocol Used
40/48 Gy in 15 fractions
PTV(s) Volume, Length
660 cc, 25 cm
Mode
TomoHelical™ 5cm
Planning Time Optimized with VOLO™ Ultra
30 min
Treatment Delivery Information
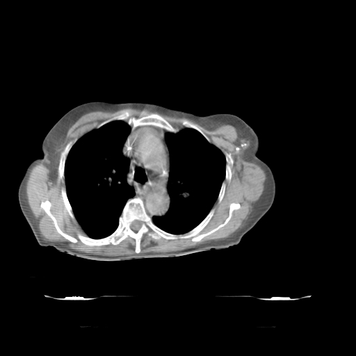
Imaging Information
ClearRT®
Protocol
thorax-coarse-FOV50cm
Scan Length
27 cm
KVCT Imaging Time
25 sec
Beam on Time
7.5 min