RADIXACT SYSTEM
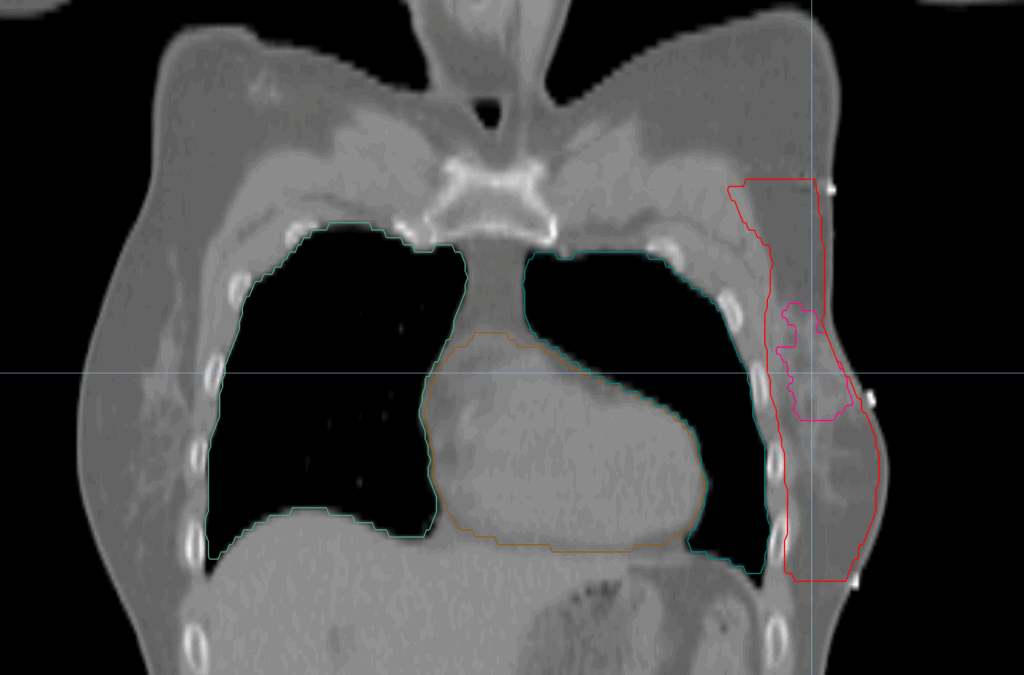
Left Breast
TomoDirect™ with
Integrated BoostCase History
AGE: 76-year-old
GENDER: Male
Medical History
Immidiate tolerance: Grade II dermatitis with eyelid edema, Grade I conjunctivitis resolved with Sterdex
Diagnosis: Squamous cell carcinoma of the right lower eyelid
Planning CT Images


Treatment Plan Images





ClearRT® Images


Treatment Planning Highlights
Fractionation / Protocol Used
40 Gy in 15 fractions
PTV(s) Volume, Length
617 cc, 18 cm
Mode
- TomoDirect™ 5 angles
- TomoEDGE™ 5 cm
Planning Time Optimized with VOLO™ Ultra
20 min
Treatment Delivery Information
Imaging Information
ClearRT®
Protocol
thorax-medium-FOV50cm
Scan Length
25cm
KVCT Imaging Time
22 sec
Beam on Time
2.9 min