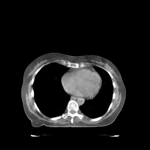
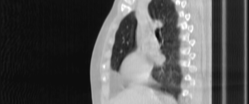
RADIXACT SYSTEM
Left Breast with
Deep Inspiration
Breath Hold
Case History
AGE: 76-year-old
GENDER: Male
Medical History
Immidiate tolerance: Grade II dermatitis with eyelid edema, Grade I conjunctivitis resolved with Sterdex
Diagnosis: Squamous cell carcinoma of the right lower eyelid
Planning CT Images



Treatment Plan Images





ClearRT® Images


Treatment Planning Highlights
Fractionation / Protocol Used
40.05 Gy in 15 fractions
PTV(s) Volume, Length
944 cc, 18.3 cm
Mode
TomoDirect™ 2 angles
• VitalHold™
TomoEDGE™ 5cm
Planning Time Optimized with VOLO™ Ultra
20 min
Treatment Delivery Information
Imaging Information
ClearRT®
Protocol
thorax-medium-FOV44 cm
Scan Length
23 cm
KVCT Imaging Time
24 sec
Beam on Time
2 min