CYBERKNIFE SYSTEM
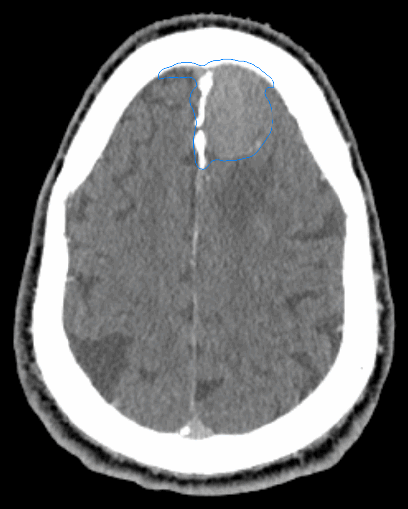
Left Frontal Lobe Meningioma
Case History
AGE: 52-year-old
GENDER: Male
Medical History
Persistent lower back pain, paresthesia in the right groin fold
MRI: Lesion compatible with a paraspinal meningioma measuring 4.1cm at the level of L1-L2
Planning CT Images



Treatment Plan Images




Treatment Planning Highlights
Fractionation
25 Gy in 5 fractions
PTV(s) Volume
PTV, 27.6 cc
Dose Distributions
- Prescription to the 83.2% isodose line
- Max. dose 30.1 Gy
Collimator
MLC
Dose Calculation Algorithm
FSBP
New Conformality Index (nCI)
nCi = 1.24
Gradient Index (GI)
GI = 3.88
Protocol Used
RECORAD
Treatment Delivery Information
Tracking Method
Synchrony®
Skull Tracking™
Total Delivery Time
18 minutes