CYBERKNIFE SYSTEM
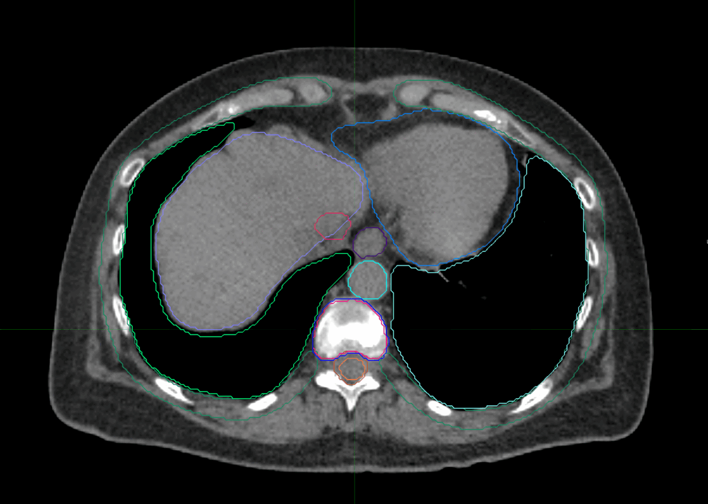
T10-T11 Spine Metastasis
Case History
AGE: 76-year-old
GENDER: Male
Medical History
Immidiate tolerance: Grade II dermatitis with eyelid edema, Grade I conjunctivitis resolved with Sterdex
Diagnosis: Squamous cell carcinoma of the right lower eyelid
Planning CT Images


Treatment Plan Images




Treatment Planning Highlights
Fractionation
27 Gy in 3 fractions
PTV(s) Volume
PTV, 45.5 cc
Dose Distributions
- Prescription to the
75.6% isodose line - Max. dose 35.71 Gy
Collimator
Iris Variable
Aperture Collimator
Dose Calculation Algorithm
Monte Carlo
New Conformality Index (nCI)
nCi = 1.33
Protocol Used
SABR UK Consortium
Treatment Delivery Information
Tracking Method
Synchrony® Spine
Tracking Supine™
Total Delivery Time
41 minutes