CASE STUDY | OSPEDALE SAN RAFFAELE

Stereotactic Body Radiotherapy for Multiple Renal Cell Carcinoma Lesions in a Patient With Polycystic Kidney Disease After Partial Nephrectomy

Authors:

Laura Giannini, Miriam Torrisi, Chiara Lucrezia Deantoni, Roberta Tummineri, Andrei Fodor

Challenge:

Not all primary renal cell carcinoma (RCC) patients are suitable for surgery due to the typically late onset of the disease, which is often associated with comorbidities and an increased perioperative risk.

Solution:

Recently evidence has emerged supporting the use of stereotactic ablative radiotherapy (SBRT) in RCC, with promising local control and preservation of renal function.

Case Information:

Patient69-year-old male
PresentationHistory of RCC (pT1 G3), partial nephrectomy, polycystic kidney disease, Crohn’s disease, hypertension
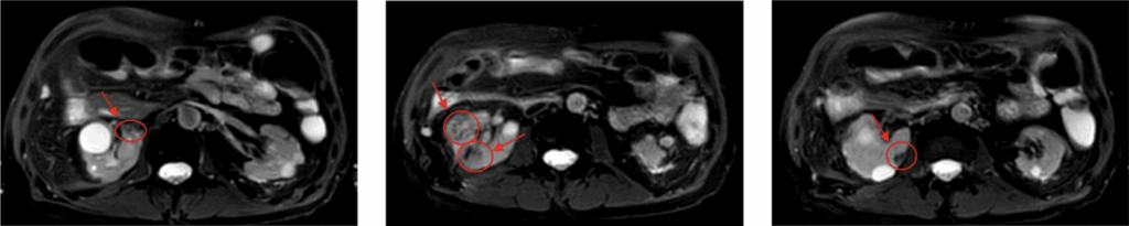
MRIFour new renal lesions identified in the right kidney (figure 1)
Figure 1: Renal lesions identified on MRIadaptive radiotherapy, and (Conventional Linac) ITV-method

Treatment:

GoalPrioritize renal function preservation and minimize risk of toxicity
Prescription30 Gy in 5 consecutive fractions
TechnologyCyberKnife® System with Synchrony® Lung TrackingTM
FiducialsFour markers placed for real-time motion tracking
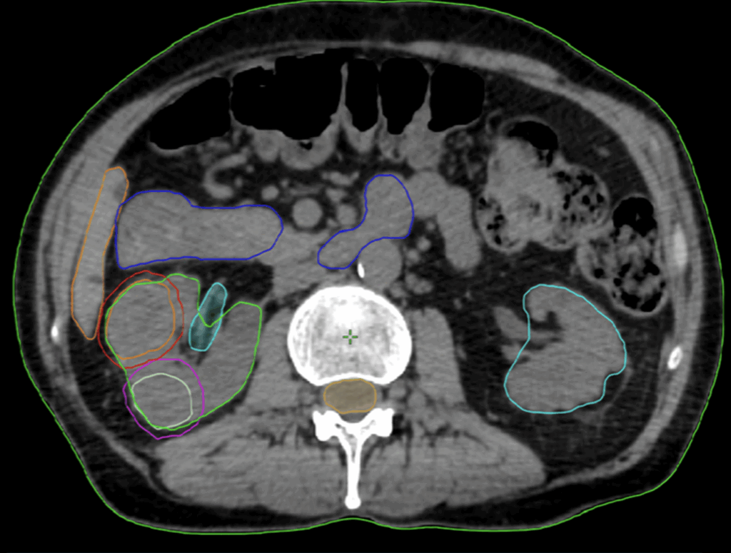
Organs at RiskSmall bowel, stomach, spinal cord, liver, contralateral kidney (figure 2)
Planning3 mm PTV margin; no CTV margin used (Figure 3)
Figure 2: Delineation of the GTVs and OARs on the planning CT scan
Figure 3: Treatment planning in axial and coronal views for four RCC lesions

Outcomes:

ToxicityNo acute toxicity during or after treatment
Renal FunctionRenal function preserved, eGFR improved slightly from 29 to 35 mL/min
Follow-upStable disease confirmed by MRI at 29 month follow-up
Adjuvant TherapyNo adjuvant therapy administered
“The integration of precision robotics and image-guided localization, through the Synchrony respiratory tracking system, compensates for tumor motion, making it a highly effective procedure to reduce the irradiated volume for lesions that move with breathing.”

Conclusion:

“SBRT has proven to be a valuable treatment option for our patient with multiple renal lesions from RCC, with contraindications to surgery and pre-existing renal dysfunction.” “Even with a reduced dose, SBRT achieved long-term disease control and preservation of renal function suggesting its suitability in selected complex cases.” Further studies and larger cohorts are needed to fully establish the optimal dose-fractionation schedules for SBRT in complex cases with multiple lesions from RCC.

Important Safety Information:

Most side effects of radiotherapy, including radiotherapy delivered with Accuray systems, are mild and temporary, often involving fatigue, nausea, and skin irritation. Side effects can be severe, however, leading to pain, alterations in normal body functions (for example, urinary or salivary function), deterioration of quality of life, permanent injury, and even death. Side effects can occur during or shortly after radiation treatment or in the months and years following radiation. The nature and severity of side effects depend on many factors, including the size and location of the treated tumor, the treatment technique (for example, the radiation dose), and the patient’s general medical condition, to name a few. For more details about the side effects of your radiation therapy, and to see if treatment with an Accuray product is right for you, ask your doctor. Accuray Incorporated as a medical device manufacturer cannot and does not recommend specific treatment approaches. Individual results may vary.

© 2025 Accuray Incorporated. All Rights Reserved. Accuray, the Accuray logo, and other trademarks are trademarks or registered trademarks of Accuray Incorporated and may not be used without permission. For more information on Accuray and its trademarks, please visit www.accuray.com/trademarks. MKTCKCSCC250925#9

Medical Affairs

Accuray Medical Affairs serves as your comprehensive resource hub for clinical evidence, and peer collaboration through our user community.

Services

Industry-leading service to support your ongoing success, from speedy install and optimization, to proactive monitoring and unrivalled on-site service, to smart upgrade paths to keep your system at the leading edge.

Solutions

From robotic to helical radiation therapy delivery, we invent unique, market-changing solutions that are designed to deliver radiation treatments across a full spectrum of patient needs.

Treatment Centers

Radiosurgery

Adaptive Radiotherapy

Systems integration

What's New

Your go-to source for staying informed about our advancements.

Why Accuray

Accuray is expanding radiation therapy: our products can deliver it accurately, precisely and effectively, from oncology to neuro-radiosurgery and beyond.