CYBERKNIFE SYSTEM
8 Brain Metastases
Case History
AGE: 56-year-old
GENDER: Male
Medical History
Small Cell Lung Cancer (SCLC), diagnosed and treated eight months ago: Chemotherapy and radiotherapy for the primary lung tumor. No prophylactic cranial irradiation was administered
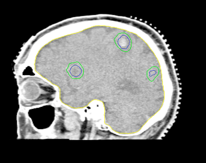
Follow-up MRI: 8 metastases in the brain
Planning CT Images




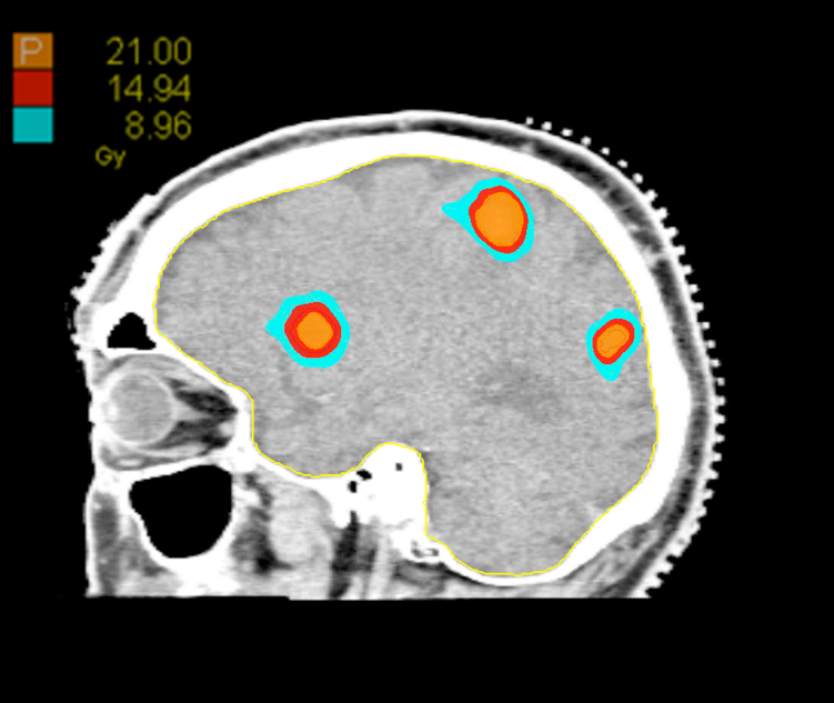
Treatment Plan Images




Treatment Planning Highlights
Fractionation
18 & 21 Gy in 1 fraction
PTV(s) Volume
PTVs total, 12.57 cc
Dose Distributions
- Prescription to the 70.3% isodose line
- Max. dose 29.9 Gy
Collimator
Iris Variable
Aperture Collimator
Dose Calculation Algorithm
Ray Tracing
Protocol Used
RECORAD
Treatment Delivery Information
Tracking Method
Synchrony® Skull
Tracking, Frameless
Total Delivery Time
103 minutes real-time adaptive delivery (12 minutes per target)