CYBERKNIFE SYSTEM
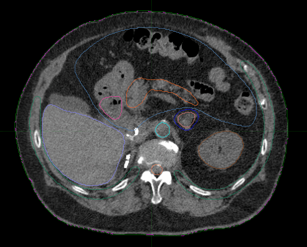
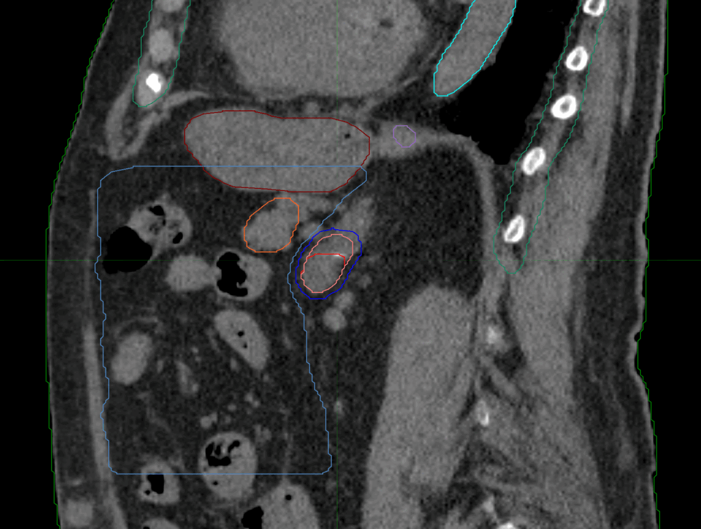
Adrenal Metastasis of Right Kidney Cancer
Case History
AGE: 81-year-old
GENDER: Female
Diagnosis: Oligometastasis in the left adrenal gland, following surgery for right kidney cancer, now with secondary metastasis
Planning CT Images


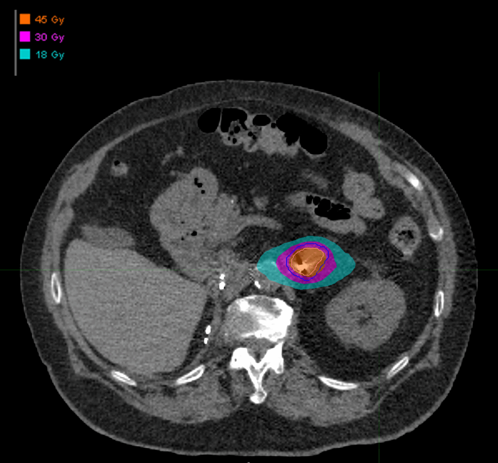
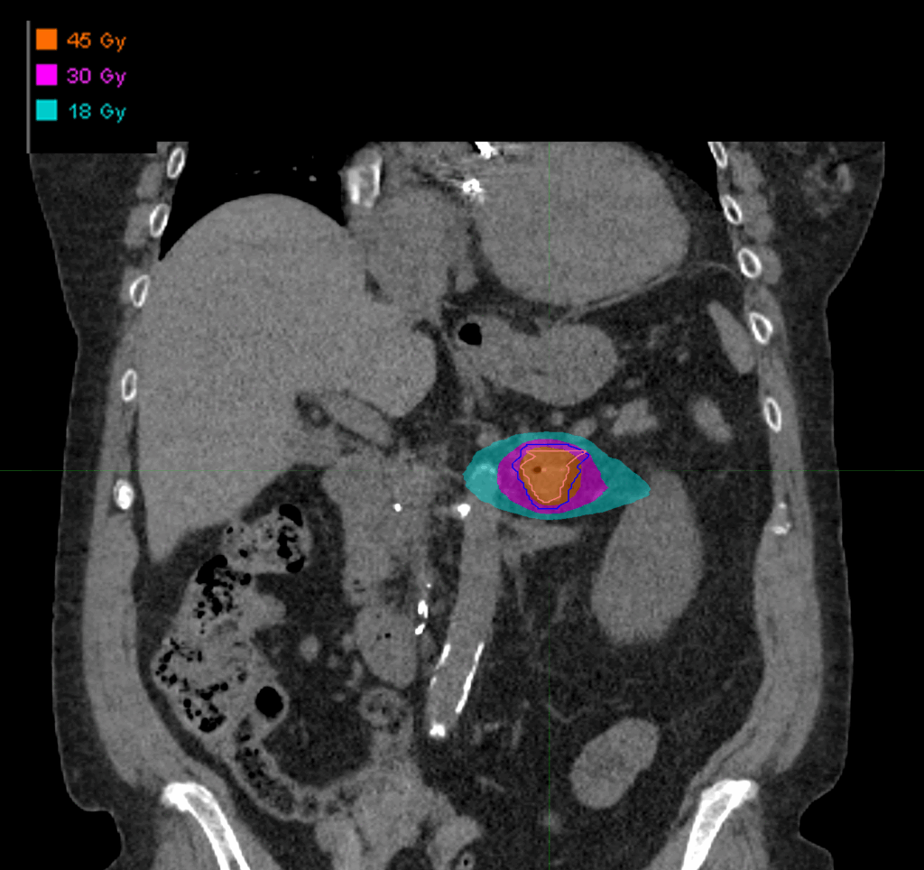
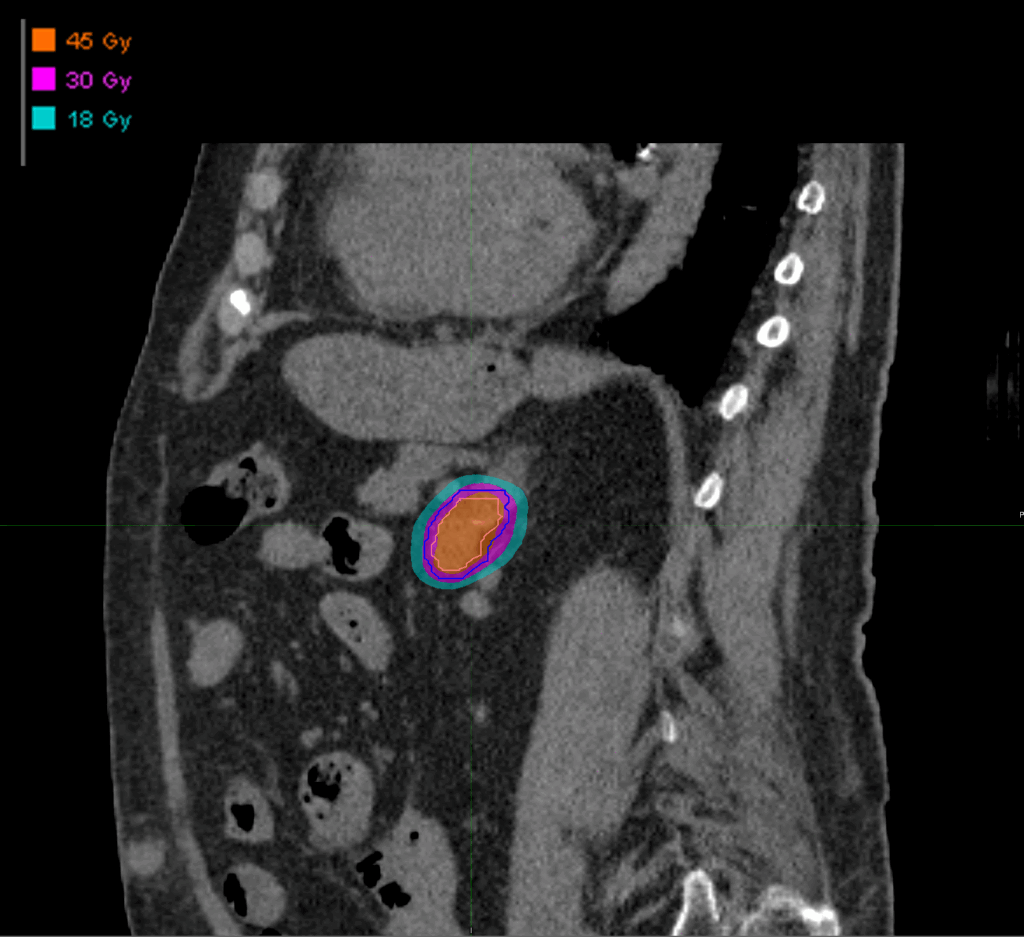
Treatment Plan Images





Treatment Planning Highlights
Fractionation
45 Gy in 3 fractions
PTV(s) Volume
PTV, 14.7 cc
Dose Distributions
- Prescription to the 76.1% isodose line
- Max. dose 59.13 Gy
Collimator
Iris Variable
Aperture Collimator
Dose Calculation Algorithm
Monte Carlo
Protocol Used
SABR UK Consortium
Treatment Delivery Information
Tracking Method
Synchrony® Fiducial
with Respiratory
Modelling
Total Delivery Time
32 minutes