CYBERKNIFE SYSTEM
Basal Cell Carcinoma of the Lower Left Eyelid
Case History
AGE: 83-year-old
GENDER: Male
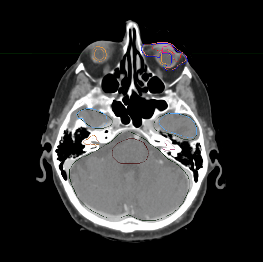
Diagnosis: Recurrent infiltrating basal cell carcinoma of the left lower eyelid
Radiotherapy tolerance: Grade II conjunctivitis, Grade II eye watering, Grade III dermatitis
Planning CT Images



Treatment Plan Images





Treatment Planning Highlights
Fractionation
50.4 Gy in 14 fractions
PTV(s) Volume
PTV, 7.2 cc
Dose Distributions
- Prescription to the 76% isodose line
- Max. dose 66 Gy
Collimator
Iris Variable
Aperture Collimator
Dose Calculation Algorithm
Monte Carlo
New Conformality Index (nCI)
nCi = 1.34
Protocol Used
SABR UK Consortium
Treatment Delivery Information
Tracking Method
Synchrony®
Skull Tracking™
Total Delivery Time
21 minutes