CYBERKNIFE SYSTEM
Basocellular Carcinoma
Case History
AGE: 77-year-old
GENDER: Male
Medical History
Hypertension, ischemic heart disease, arteritis, arrhythmia, basal cell carcinoma of the right lower eyelid treated with Sonidegib followed by radiotherapy
Diagnosis: Recurrent infiltrating basal cell carcinoma of the external auditory canal
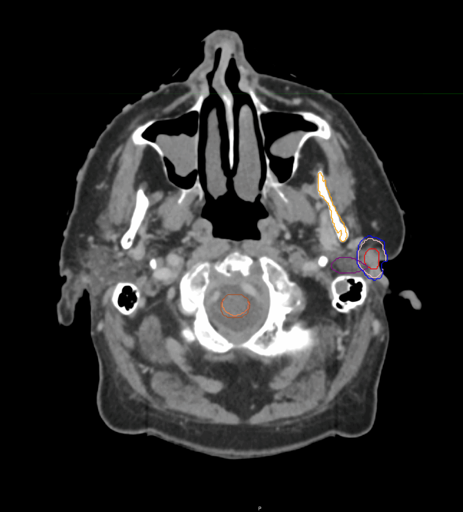
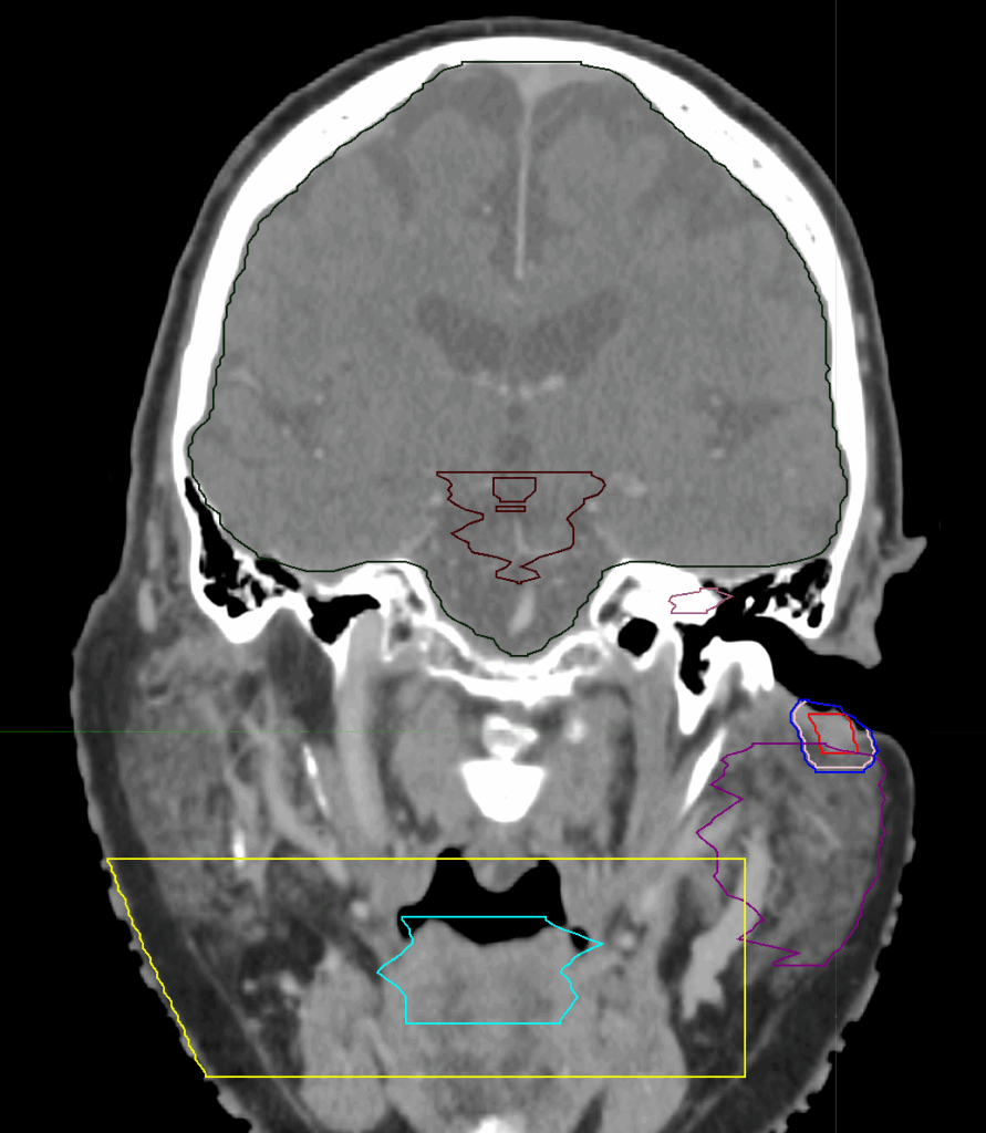
Planning CT Images


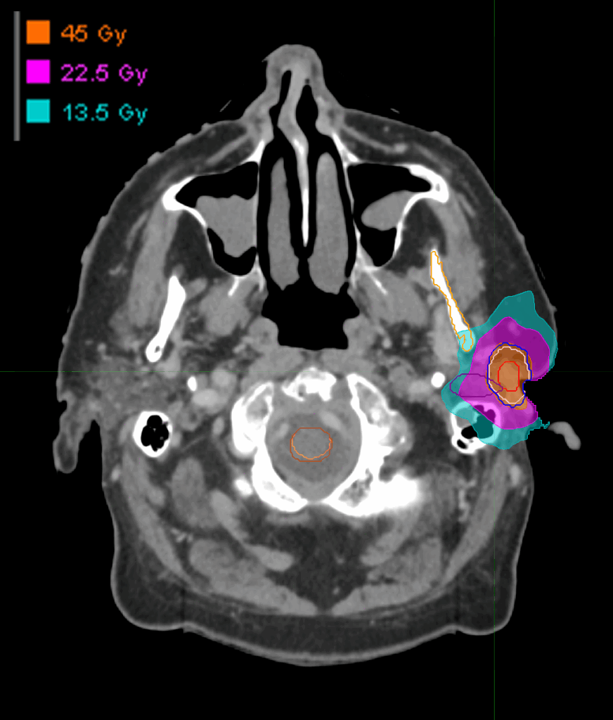
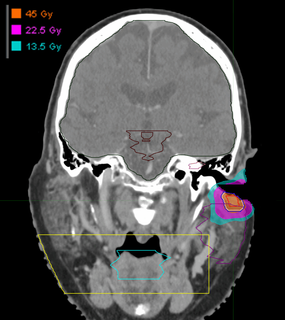
Treatment Plan Images




Treatment Planning Highlights
Fractionation
45 Gy in 10 fractions
PTV(s) Volume
External auditory
canal, 3.56 cc
Dose Distributions
- Prescription to the
83% isodose line - Max. dose 54.35 Gy
Collimator
Iris Variable
Aperture Collimator
Dose Calculation Algorithm
Monte Carlo
New Conformality Index (nCI)
nCi = 1.16
Protocol Used
SABR UK Consortium
Treatment Delivery Information
Tracking Method
Synchrony®
Skull Tracking™
Total Delivery Time
15 minutes