CYBERKNIFE SYSTEM
L1 – L2 Paraspinal Meningioma
Case History
AGE: 52-year-old
GENDER: Male
Medical History
Persistent lower back pain, paresthesia in the right groin fold
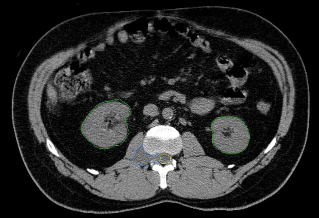
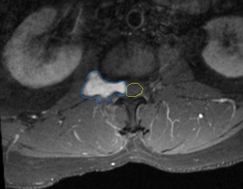
MRI: Lesion compatible with a paraspinal meningioma measuring 4.1cm at the level of L1-L2
Planning CT Images


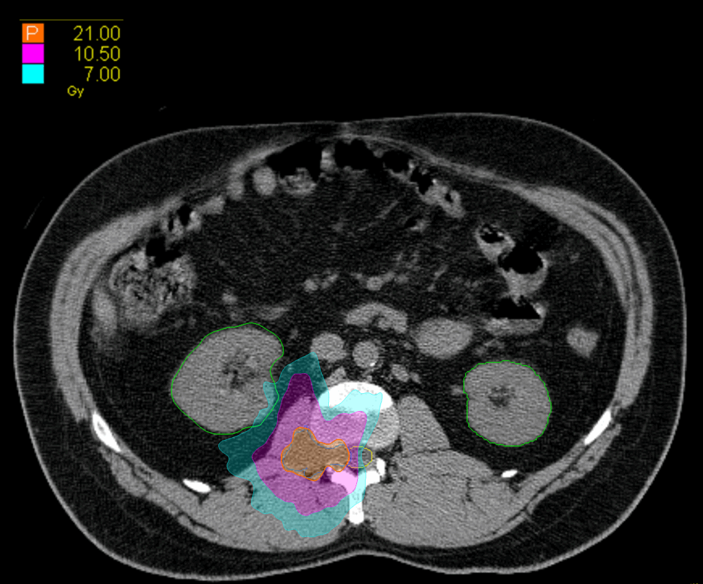
Treatment Plan Images




Treatment Planning Highlights
Fractionation
21 Gy in 3 fractions
PTV(s) Volume
PTV, 15.7 cc
Dose Distributions
- Prescription to the 77.9% isodose line
- Max. dose 29 Gy
Collimator
Iris Variable
Aperture Collimator
Dose Calculation Algorithm
Ray Tracing
New Conformality Index (nCI)
nCi = 1.47
Gradient Index (GI)
GI = 4.24
Protocol Used
RECORAD
Treatment Delivery Information
Tracking Method
Synchrony®
Spine Tracking
Total Delivery Time
34 minutes