RADIXACT SYSTEM
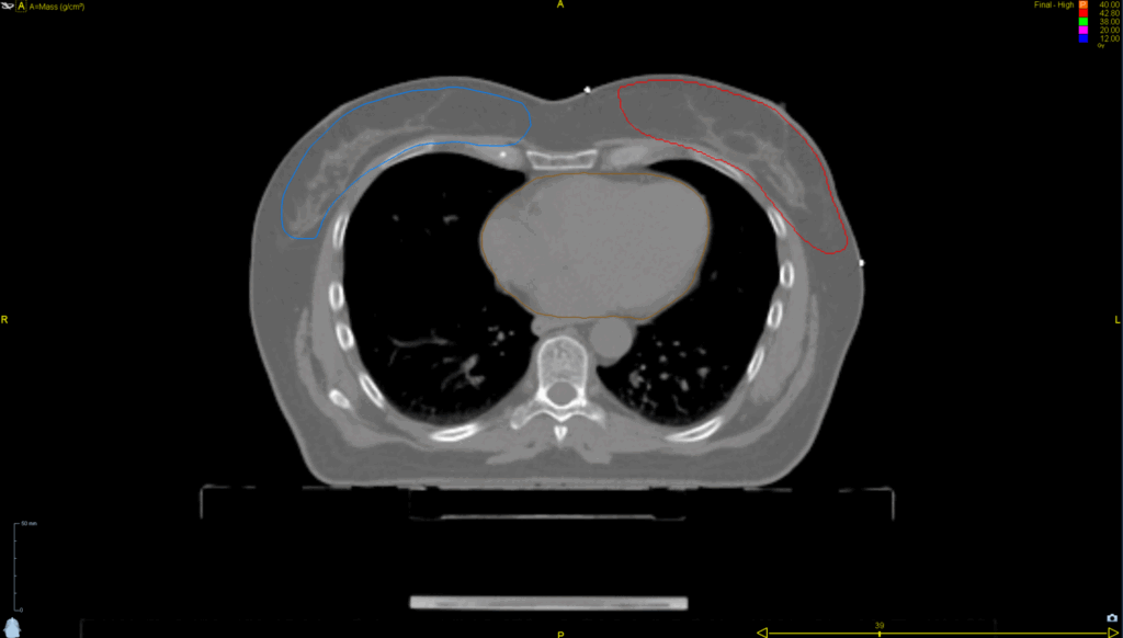
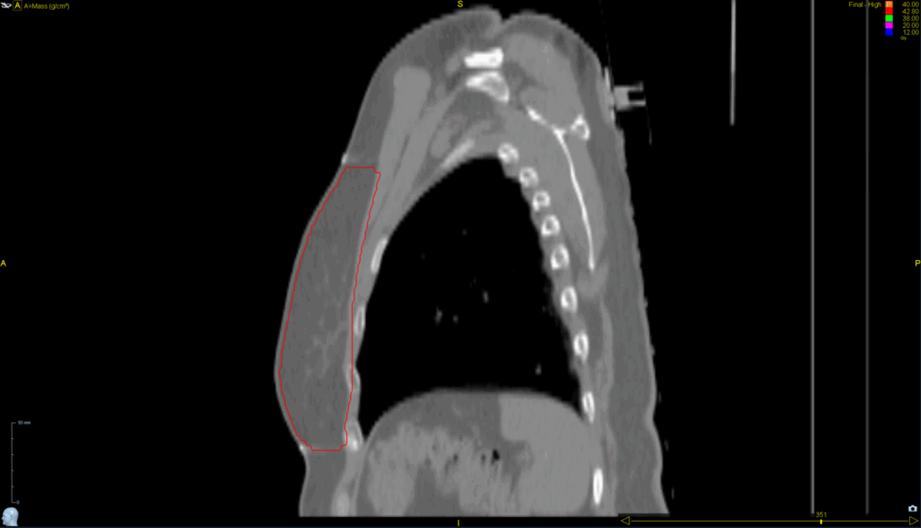
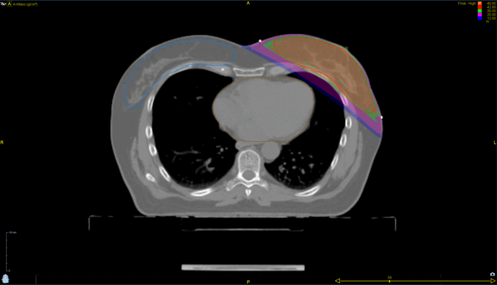
Left Whole Breast
Case History
AGE: 76-year-old
GENDER: Male
Medical History
Immidiate tolerance: Grade II dermatitis with eyelid edema, Grade I conjunctivitis resolved with Sterdex
Diagnosis: Squamous cell carcinoma of the right lower eyelid
Planning CT Images



Treatment Plan Images





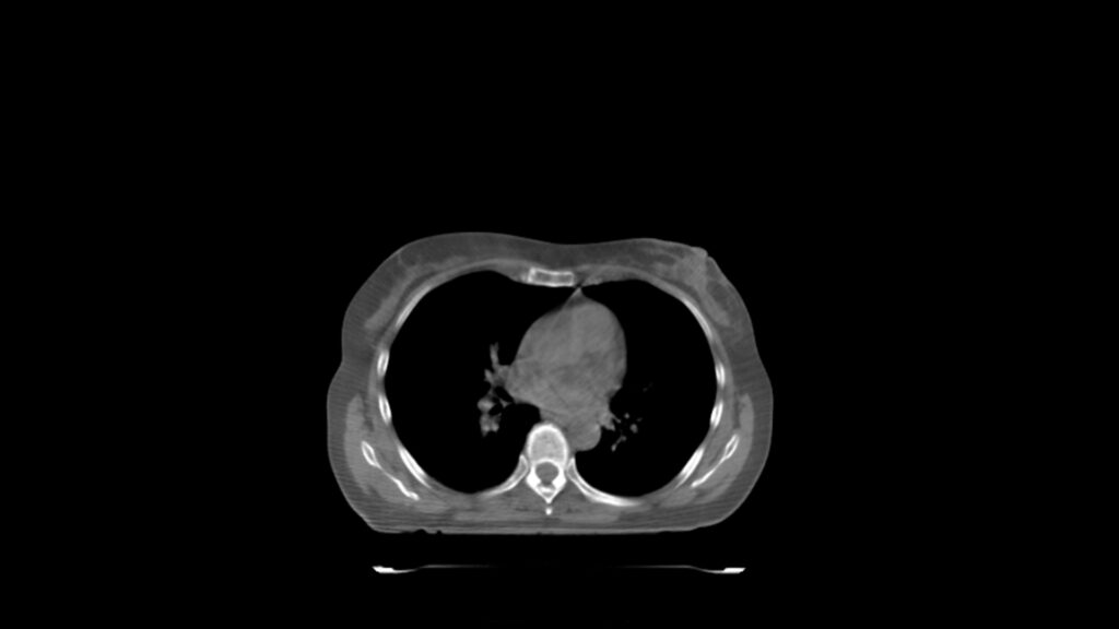
ClearRT® Images


Treatment Planning Highlights
Fractionation / Protocol Used
40 Gy in 15 fractions
PTV(s) Volume, Length
617 cc, 18 cm
Mode
- TomoDirect™
- 4 angles
- TomoEDGE™ 5 cm
Planning Time Optimized with VOLO™ Ultra
20 min
Treatment Delivery Information
Imaging Information
ClearRT®
Protocol
Thorax_Course_Small_44cm
Scan Length
25 cm
KVCT Imaging Time
25 sec
Beam on Time
3.3 min