RADIXACT SYSTEM
Lung SBRT with Synchrony® Fiducial Tracking™ and Respiratory Modeling
Case History
AGE: 76-year-old
GENDER: Male
Medical History
Immidiate tolerance: Grade II dermatitis with eyelid edema, Grade I conjunctivitis resolved with Sterdex
Diagnosis: Squamous cell carcinoma of the right lower eyelid
Planning CT Images



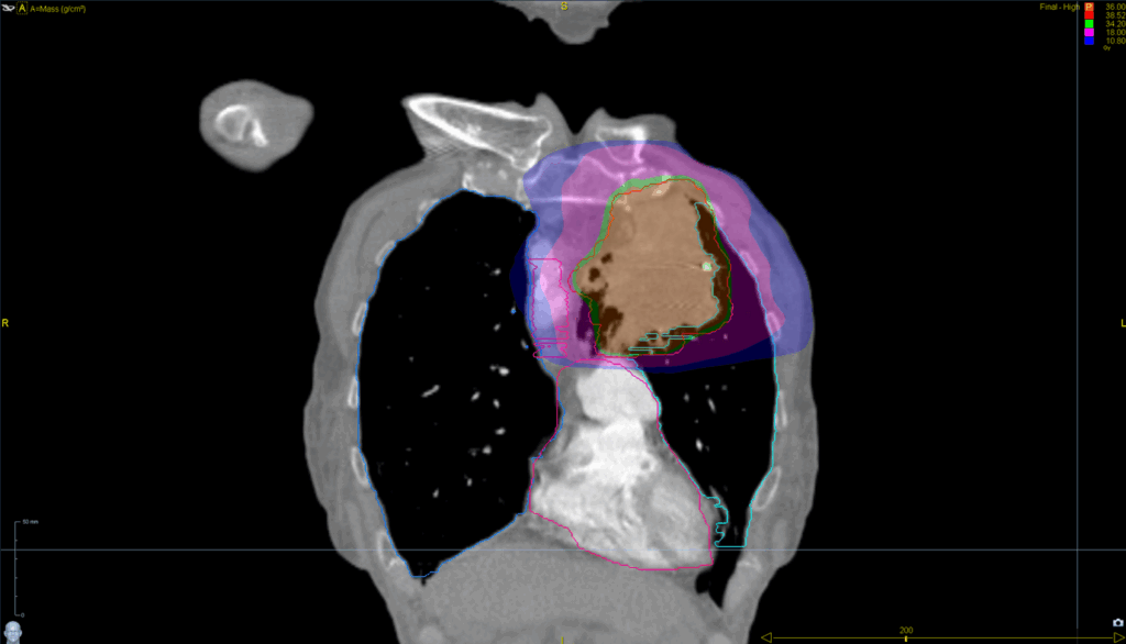
Treatment Plan Images




ClearRT® Images


Treatment Planning Highlights
Fractionation / Protocol Used
36 Gy in 6 fractions
PTV(s) Volume, Length
355 cc, 9.4 cm
Mode
TomoHelical™
• SBRT
Synchrony® Fiducial
Tracking™ with
Respiratory Modeling
• TomoEDGE™ 2.5 cm
Planning Time Optimized with VOLO™ Ultra
45 min
Treatment Delivery Information
Imaging Information
ClearRT®
Protocol
thorax-medium-FOV50cm
Scan Length
15cm
KVCT Imaging Time
30 sec
Beam on Time
10 min