CYBERKNIFE SYSTEM
One Brain Metastasis
Case History
AGE: 65-year-old
GENDER: Female
Medical History
Small Cell Lung Cancer (SCLC), diagnosed and treated six months ago: Surgical resection of the primary lung tumor followed by adjuvant chemotherapy and radiotherapy
Patient has been experiencing headaches, dizziness, and occasional balance issues
MRI: metastasis in the cerebellum, measuring 3.2cm
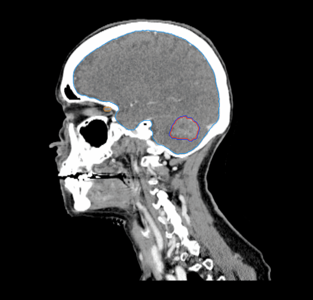
Planning CT Images


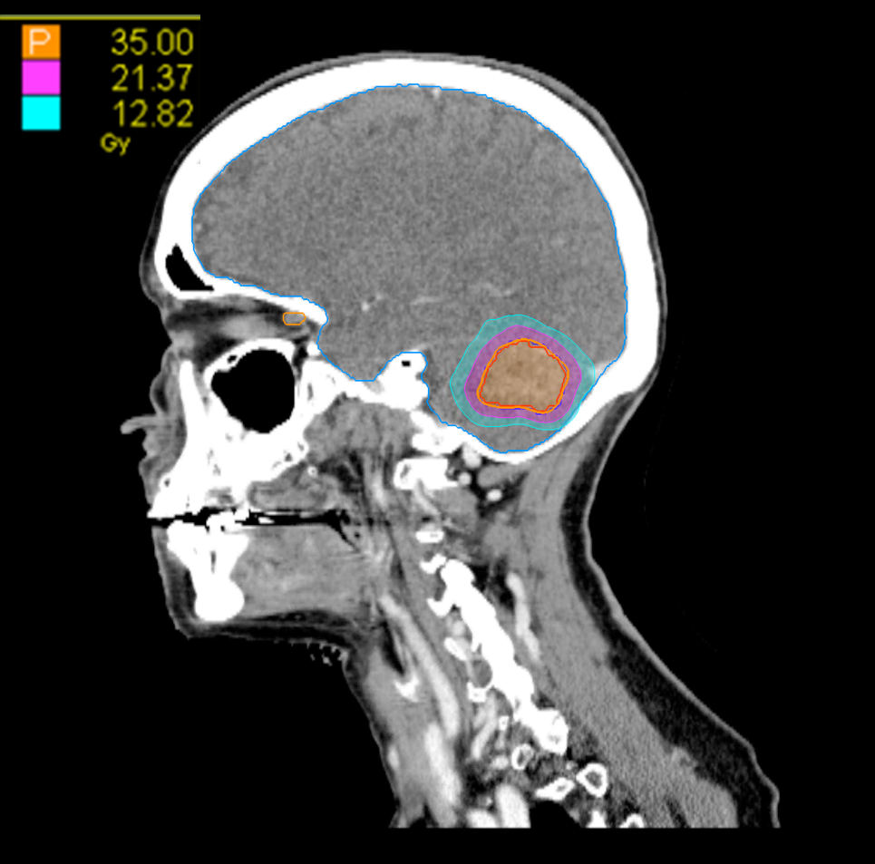
Treatment Plan Images




Treatment Planning Highlights
Fractionation
35 Gy in 5 fractions
PTV(s) Volume
1 brain metastasis,
11.2 cc
Dose Distributions
- Prescription to the 82% isodose line
- Max. dose 42.7 Gy
Collimator
Iris Variable
Aperture Collimator
Dose Calculation Algorithm
Ray Tracing
New Conformality Index (nCI)
nCi = 1.07
Gradient Index (GI)
GI = 3.07
Protocol Used
RECORAD
Treatment Delivery Information
Tracking Method
Synchrony®
Skull Tracking™
Total Delivery Time
38 minutes