CYBERKNIFE SYSTEM
Prostate Ultra-hypofraction SBRT
Case History
AGE: 73-year-old
GENDER: Male
GENDER: Male
Medical History
Hypertension, hypercholesterolemia, appendectomy
Favorable intermediate-risk prostatic adenocarcinoma (NCCN)
- Initial PSA (iPSA): 9 ng/ml
- Gleason Score: 3+3=6 (Grade Group 1)
- Stage: T2b
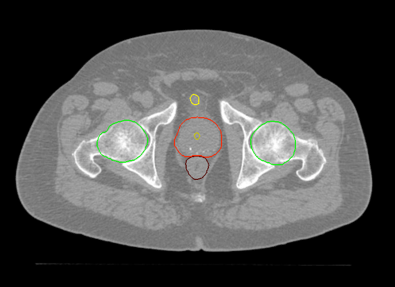
Planning CT Images


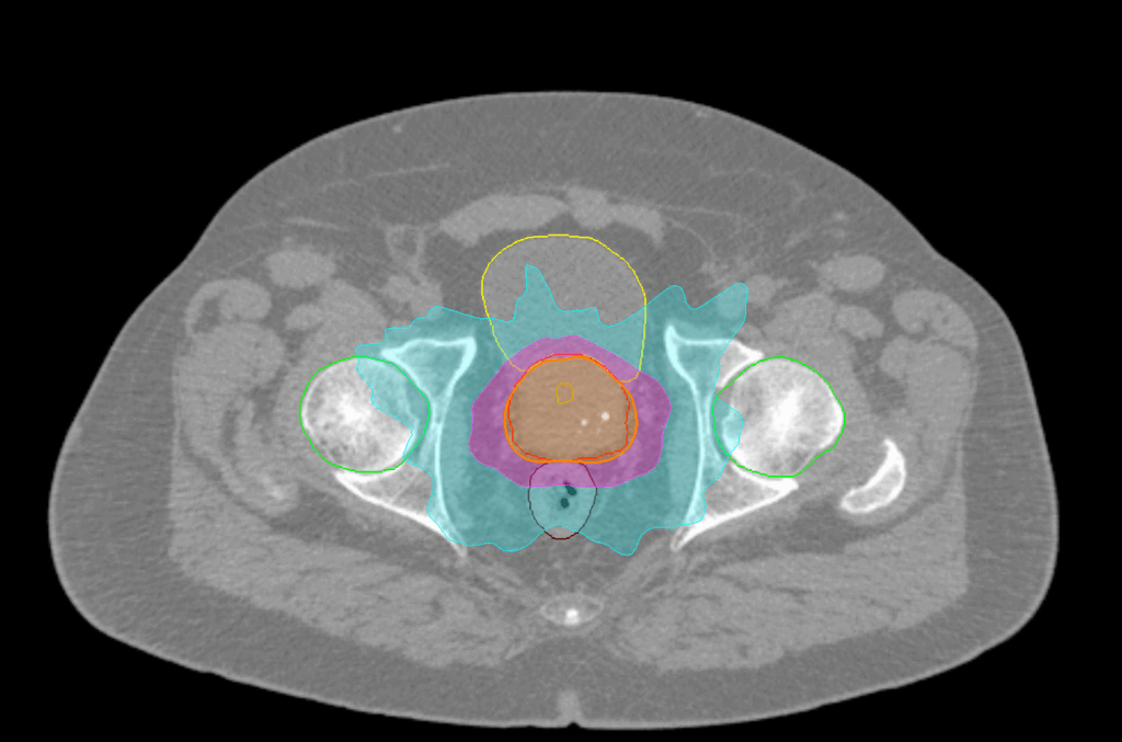
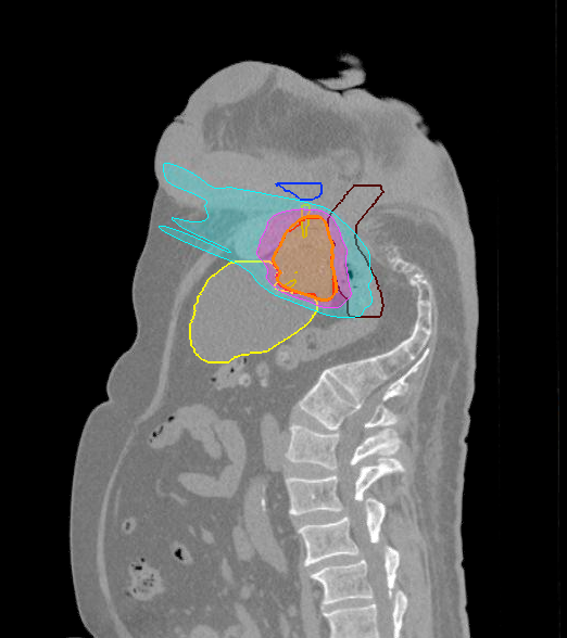
Treatment Plan Images




Treatment Planning Highlights
Fractionation
36.25 Gy in 5 fractions
PTV(s) Volume
Prostate, 117 cc
Dose Distributions
- Prescription to the
84% isodose line - Max. dose 43.15 Gy
Collimator
InCise™ MLC
Dose Calculation Algorithm
FSPB
New Conformality Index (nCI)
CI = 1.1 / nCi = 1.13
Gradient Index (GI)
GI = 3.34
Protocol Used
PACE
Treatment Delivery Information
Tracking Method
Synchrony® with fiducials
Total Delivery Time
14 minutes real-time
adaptive delivery