CYBERKNIFE SYSTEM
Right Central Lung Metastasis
Case History
AGE: 62-year-old
GENDER: Male
Medical History
- Chronic obstructive pulmonary disease (COPD), previous surgery on right lung
- Chest CT: Suspicious lesion in the right lower lobe
- PET-CT: hypermetabolic nodule, 3.1cm no evidence of regional or distant metastasis
- Non-Small Cell Lung Cancer (NSCLC), adenocarcinoma cT2aN0M0, Stage IB
Hypertension and smoker with a 60-pack-year history.
Persistent cough and unintentional weight loss over the past three months
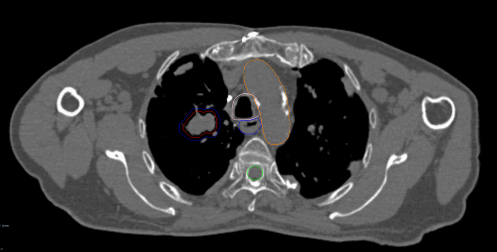
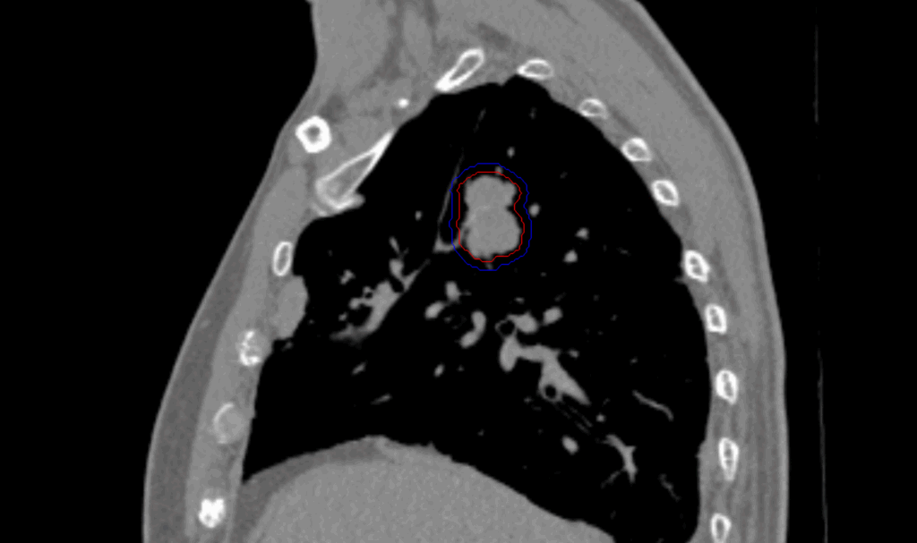
Planning CT Images


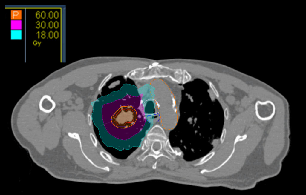
Treatment Plan Images




Treatment Planning Highlights
Fractionation
60 Gy in 8 fractions
PTV(s) Volume
21.8cc
Dose Distributions
- Prescription to the
78.9% isodose line - Max. dose 76.05 Gy
Collimator
MLC
Dose Calculation Algorithm
Monte-Carlo
New Conformality Index (nCI)
nCi = 1.22
Gradient Index (GI)
GI = 4.24
Protocol Used
RECORAD
Treatment Delivery Information
Tracking Method
Lung Tracking with
Respiratory Modelling
Total Delivery Time
29 minutes