CYBERKNIFE SYSTEM
Trigeminal Neuralgia
Case History
AGE: 67-year-old
GENDER: Male
Medical History
Severe, lancinating pain in the right trigiminal nerve, refractory to the medical treatment. Symptoms started 5 years ago, progressively worsening
Neurological Exam: No motor deficit, no sensory loss; sensory zones over right cheek and jaw
MRI Brain: No evidence of multiple sclerosis or tumor
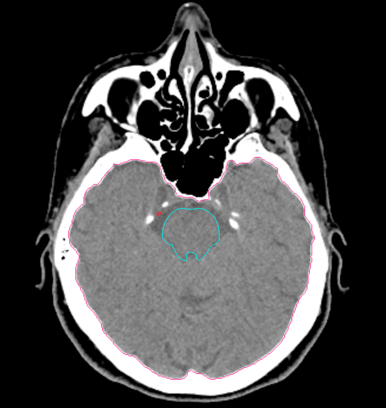
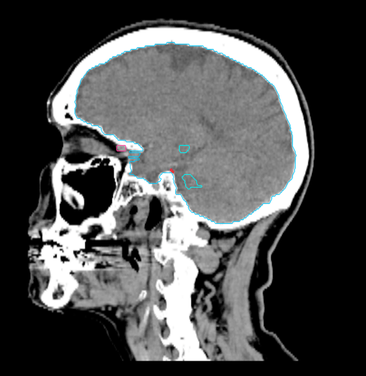
Planning CT Images


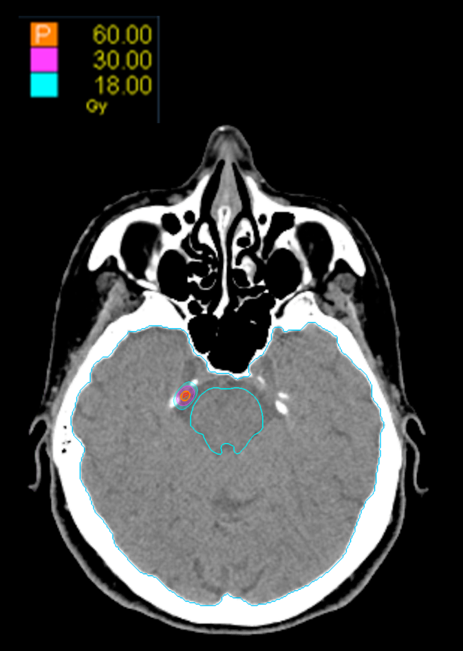
Treatment Plan Images




Treatment Planning Highlights
Fractionation
60 Gy in 1 fraction
PTV(s) Volume
PTV, 0.01cc
Dose Distributions
- Prescription to the 80 % isodose line
- Max. dose 75 Gy
Collimator
Fixed 5mm
Dose Calculation Algorithm
Ray-Tracing
Treatment Delivery Information
Tracking Method
Synchrony®
Skull Tracking™
Total Delivery Time
39 minutes