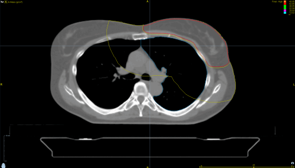
Left Breast with Deep Inspiration Breath Hold

< View All Plan Studies RADIXACT SYSTEM Left Breast with Deep Inspiration Breath Hold Case History AGE: 76-year-oldGENDER: Male Medical History Immidiate tolerance: Grade II dermatitis with eyelid edema, Grade I conjunctivitis resolved with Sterdex Diagnosis: Squamous cell carcinoma of the right lower eyelid Planning CT Images Treatment Plan Images ClearRT® Images Treatment Planning Highlights […]
Prostate Bed

< View All Plan Studies RADIXACT SYSTEM Prostate Bed Case History AGE: 76-year-oldGENDER: Male Medical History Immidiate tolerance: Grade II dermatitis with eyelid edema, Grade I conjunctivitis resolved with Sterdex Diagnosis: Squamous cell carcinoma of the right lower eyelid Planning CT Images Treatment Plan Images ClearRT® Images Treatment Planning Highlights Fractionation / Protocol Used66 Gy […]
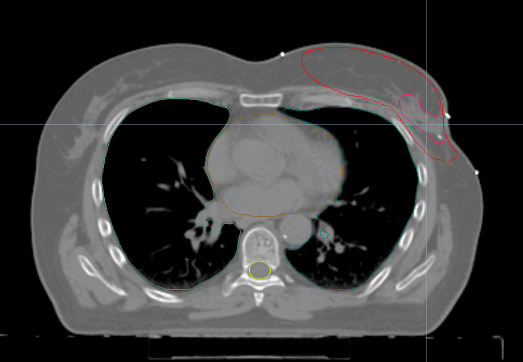
Complex Left Breast SIB and Nodes

< View All Plan Studies RADIXACT SYSTEM Complex Left Breast SIB and Nodes Case History AGE: 76-year-oldGENDER: Male Medical History Immidiate tolerance: Grade II dermatitis with eyelid edema, Grade I conjunctivitis resolved with Sterdex Diagnosis: Squamous cell carcinoma of the right lower eyelid Planning CT Images Treatment Plan Images ClearRT® Images Treatment Planning Highlights Fractionation […]
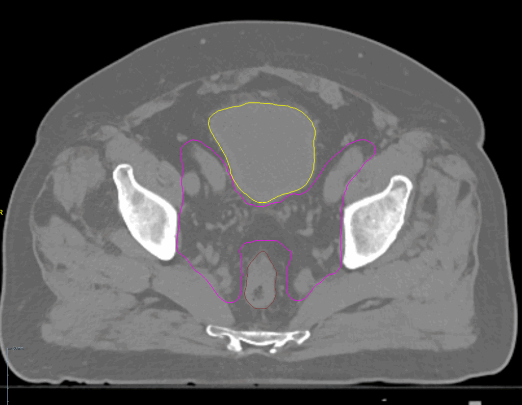
Rectum

< View All Plan Studies RADIXACT SYSTEM Rectum Case History AGE: 76-year-oldGENDER: Male Medical History Immidiate tolerance: Grade II dermatitis with eyelid edema, Grade I conjunctivitis resolved with Sterdex Diagnosis: Squamous cell carcinoma of the right lower eyelid Planning CT Images Treatment Plan Images ClearRT® Images Treatment Planning Highlights Fractionation / Protocol Used25 Gy in […]
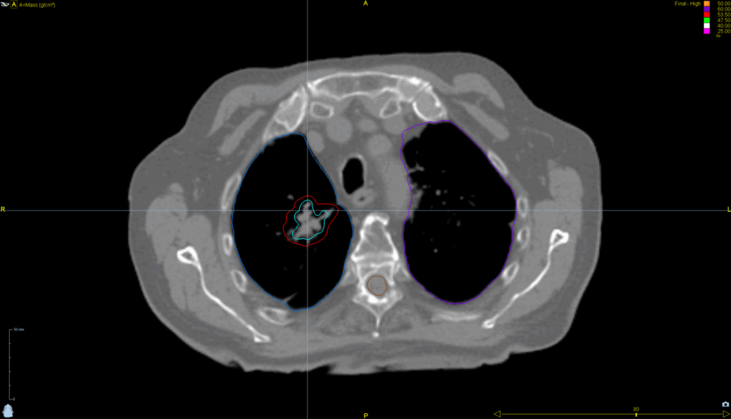
Lung SBRT with Synchrony® Fiducial Tracking™ and Respiratory Modeling

< View All Plan Studies RADIXACT SYSTEM Lung SBRT with Synchrony® Fiducial Tracking™ and Respiratory Modeling Case History AGE: 76-year-oldGENDER: Male Medical History Immidiate tolerance: Grade II dermatitis with eyelid edema, Grade I conjunctivitis resolved with Sterdex Diagnosis: Squamous cell carcinoma of the right lower eyelid Planning CT Images Treatment Plan Images ClearRT® Images Treatment […]
Head & Neck Oropharynx with SIB and Nodes

< View All Plan Studies RADIXACT SYSTEM Head & Neck Oropharynx with SIB and Nodes Case History AGE: 76-year-oldGENDER: Male Medical History Immidiate tolerance: Grade II dermatitis with eyelid edema, Grade I conjunctivitis resolved with Sterdex Diagnosis: Squamous cell carcinoma of the right lower eyelid Planning CT Images Treatment Plan Images ClearRT® Images Treatment Planning […]
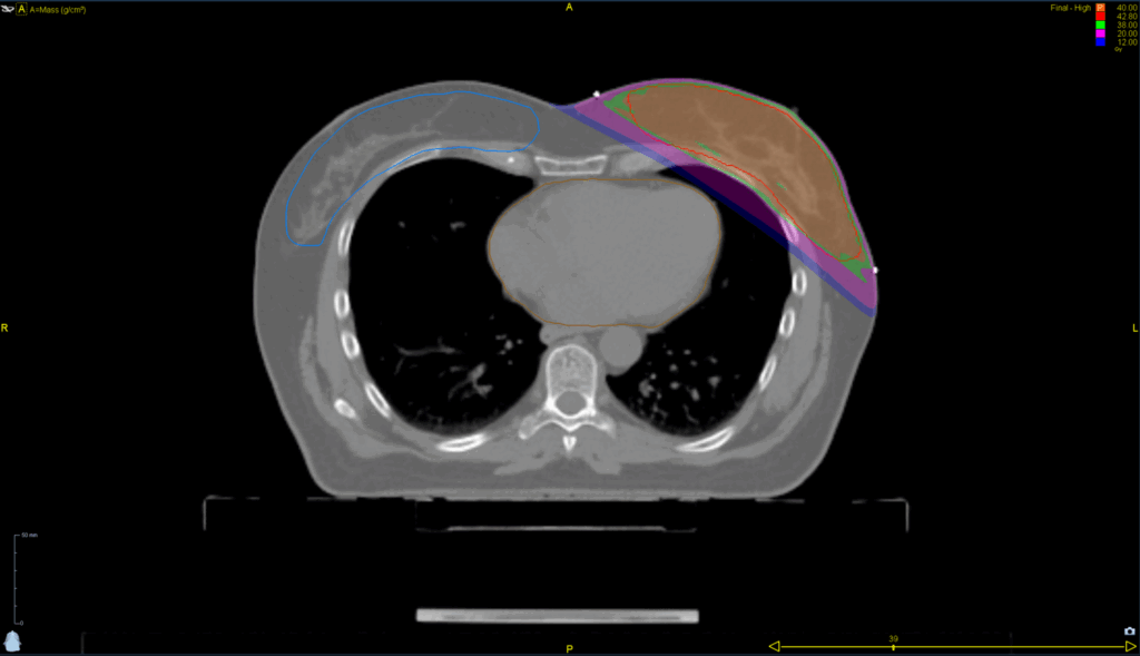
Left Breast TomoDirect™ with Integrated Boost

< View All Plan Studies RADIXACT SYSTEM Left Breast TomoDirect™ with Integrated Boost Case History AGE: 76-year-oldGENDER: Male Medical History Immidiate tolerance: Grade II dermatitis with eyelid edema, Grade I conjunctivitis resolved with Sterdex Diagnosis: Squamous cell carcinoma of the right lower eyelid Planning CT Images Treatment Plan Images ClearRT® Images Treatment Planning Highlights Fractionation […]
Meningioma

< View All Plan Studies RADIXACT SYSTEM Meningioma Case History AGE: 76-year-oldGENDER: Male Medical History Immidiate tolerance: Grade II dermatitis with eyelid edema, Grade I conjunctivitis resolved with Sterdex Diagnosis: Squamous cell carcinoma of the right lower eyelid Planning CT Images Treatment Plan Images ClearRT® Images Treatment Planning Highlights Fractionation / Protocol Used 70.20 Gy […]
Total Body Irradiation

< View All Plan Studies RADIXACT SYSTEM Total Body Irradiation Case History AGE: 76-year-oldGENDER: Male Medical History Immidiate tolerance: Grade II dermatitis with eyelid edema, Grade I conjunctivitis resolved with Sterdex Diagnosis: Squamous cell carcinoma of the right lower eyelid Planning CT Images Treatment Plan Images ClearRT® Images Treatment Planning Highlights Fractionation / Protocol Used […]
TMI

< View All Plan Studies RADIXACT SYSTEM TMI Case History AGE: 76-year-oldGENDER: Male Medical History Immidiate tolerance: Grade II dermatitis with eyelid edema, Grade I conjunctivitis resolved with Sterdex Diagnosis: Squamous cell carcinoma of the right lower eyelid Planning CT Images Treatment Plan Images ClearRT® Images Treatment Planning Highlights Fractionation / Protocol Used 20 Gy […]
Bilateral Breast with SIB and Nodes with Single Isocenter

< View All Plan Studies RADIXACT SYSTEM Bilateral Breast with SIB and Nodes with Single Isocenter Case History AGE: 76-year-oldGENDER: Male Medical History Immidiate tolerance: Grade II dermatitis with eyelid edema, Grade I conjunctivitis resolved with Sterdex Diagnosis: Squamous cell carcinoma of the right lower eyelid Planning CT Images Treatment Plan Images ClearRT® Images Treatment […]
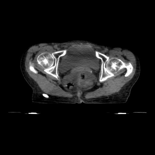
Prostate with Lymph Nodes (2 Phases with Summation)

< View All Plan Studies RADIXACT SYSTEM Prostate with Lymph Nodes (2 Phases with Summation) Case History AGE: 76-year-oldGENDER: Male Medical History Immidiate tolerance: Grade II dermatitis with eyelid edema, Grade I conjunctivitis resolved with Sterdex Diagnosis: Squamous cell carcinoma of the right lower eyelid Planning CT Images Treatment Plan Images ClearRT® Images Treatment Planning […]
Left Whole Breast

< View All Plan Studies RADIXACT SYSTEM Left Whole Breast Case History AGE: 76-year-oldGENDER: Male Medical History Immidiate tolerance: Grade II dermatitis with eyelid edema, Grade I conjunctivitis resolved with Sterdex Diagnosis: Squamous cell carcinoma of the right lower eyelid Planning CT Images Treatment Plan Images ClearRT® Images Treatment Planning Highlights Fractionation / Protocol Used […]
Endometrium with Lymph Nodes

< View All Plan Studies RADIXACT SYSTEM Endometrium with Lymph Nodes Case History AGE: 76-year-oldGENDER: Male Medical History Immidiate tolerance: Grade II dermatitis with eyelid edema, Grade I conjunctivitis resolved with Sterdex Diagnosis: Squamous cell carcinoma of the right lower eyelid Planning CT Images Treatment Plan Images ClearRT® Images Treatment Planning Highlights Fractionation / Protocol […]
Left Breast with Supraclavicular, Axillary, Internal Mammary Lymph Nodes

< View All Plan Studies RADIXACT SYSTEM Lung SBRT with Synchrony® Lung with Respiratory Tracking Modeling Case History AGE: 76-year-oldGENDER: Male Medical History Immidiate tolerance: Grade II dermatitis with eyelid edema, Grade I conjunctivitis resolved with Sterdex Diagnosis: Squamous cell carcinoma of the right lower eyelid Planning CT Images Treatment Plan Images ClearRT® Images Treatment […]
Lung SBRT with Synchrony® Lung with Respiratory Tracking Modeling

< View All Plan Studies RADIXACT SYSTEM Lung SBRT with Synchrony® Lung with Respiratory Tracking Modeling Case History AGE: 76-year-oldGENDER: Male Medical History Immidiate tolerance: Grade II dermatitis with eyelid edema, Grade I conjunctivitis resolved with Sterdex Diagnosis: Squamous cell carcinoma of the right lower eyelid Planning CT Images Treatment Plan Images ClearRT® Images Treatment […]
Prostate SBRT with Synchrony® Fiducial Tracking™

< View All Plan Studies RADIXACT SYSTEM Prostate SBRT with Synchrony® Fiducial Tracking™ Case History AGE: 76-year-oldGENDER: Male Medical History Immidiate tolerance: Grade II dermatitis with eyelid edema, Grade I conjunctivitis resolved with Sterdex Diagnosis: Squamous cell carcinoma of the right lower eyelid Planning CT Images Treatment Plan Images ClearRT® Images Treatment Planning Highlights Fractionation […]
Craniospinal

< View All Plan Studies RADIXACT SYSTEM Craniospinal Case History AGE: 76-year-oldGENDER: Male Medical History Immidiate tolerance: Grade II dermatitis with eyelid edema, Grade I conjunctivitis resolved with Sterdex Diagnosis: Squamous cell carcinoma of the right lower eyelid Planning CT Images Treatment Plan Images ClearRT® Images Treatment Planning Highlights Fractionation / Protocol Used 35.20 Gy […]