
T10-T11 Spine Metastasis
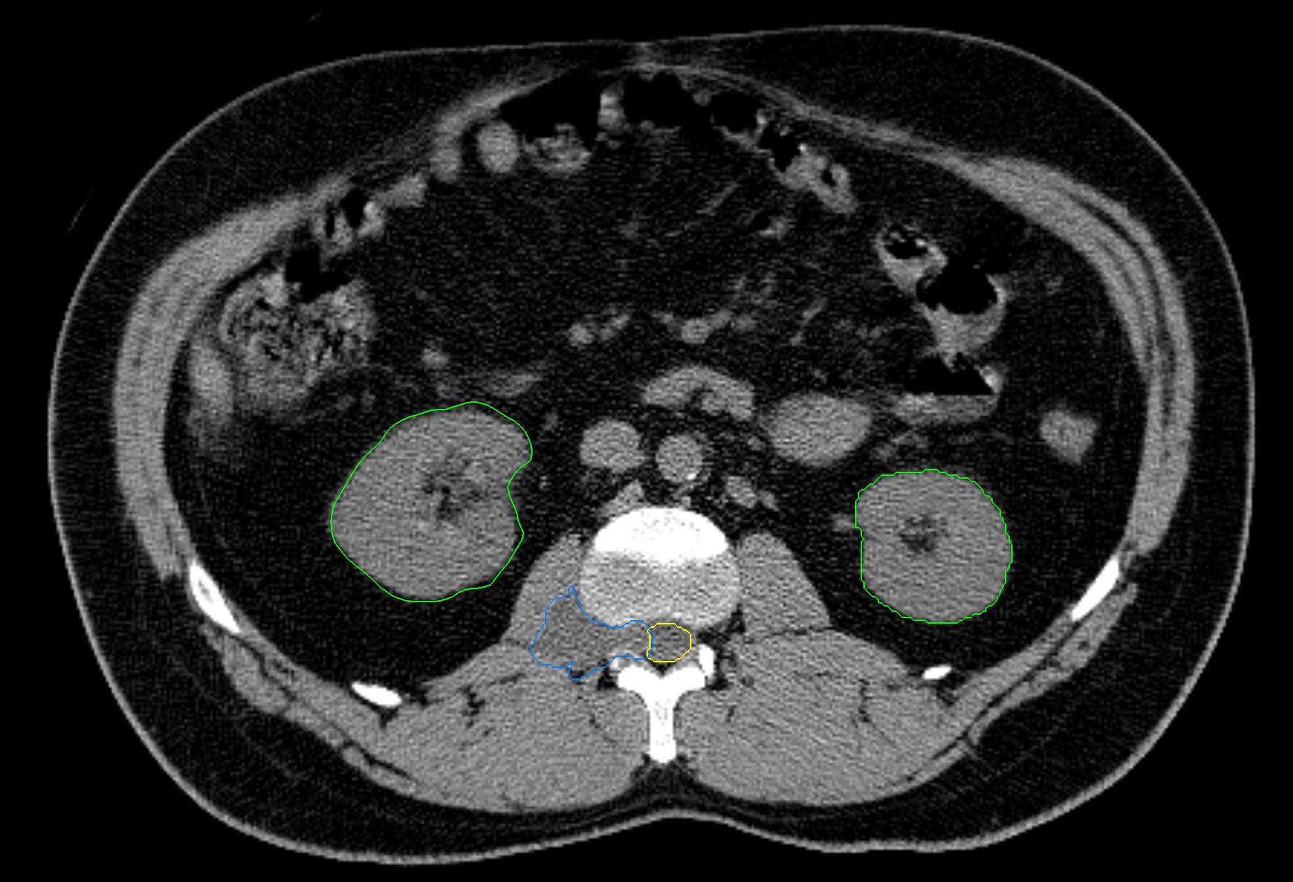
< View All Plan Studies CYBERKNIFE SYSTEM T10-T11 Spine Metastasis Case History AGE: 76-year-oldGENDER: Male Medical History Immidiate tolerance: Grade II dermatitis with eyelid edema, Grade I conjunctivitis resolved with Sterdex Diagnosis: Squamous cell carcinoma of the right lower eyelid Planning CT Images Treatment Plan Images Treatment Planning Highlights Fractionation







