T10-T11 Spine Metastasis

< View All Plan Studies CYBERKNIFE SYSTEM T10-T11 Spine Metastasis Case History AGE: 76-year-oldGENDER: Male Medical History Immidiate tolerance: Grade II dermatitis with eyelid edema, Grade I conjunctivitis resolved with Sterdex Diagnosis: Squamous cell carcinoma of the right lower eyelid Planning CT Images Treatment Plan Images Treatment Planning Highlights Fractionation 27 Gy in 3 fractions […]
L3 Spine Metastasis

< View All Plan Studies CYBERKNIFE SYSTEM L3 Spine Metastasis Case History AGE: 76-year-oldGENDER: Male Medical History Immidiate tolerance: Grade II dermatitis with eyelid edema, Grade I conjunctivitis resolved with Sterdex Diagnosis: Squamous cell carcinoma of the right lower eyelid Planning CT Images Treatment Plan Images Treatment Planning Highlights Fractionation 27 Gy in 3 fractions […]
Squamous Cell Carcinoma of the Right Lower Eyelid

< View All Plan Studies CYBERKNIFE SYSTEM Squamous Cell Carcinoma of the Right Lower Eyelid Case History AGE: 76-year-oldGENDER: Male Medical History Immidiate tolerance: Grade II dermatitis with eyelid edema, Grade I conjunctivitis resolved with Sterdex Diagnosis: Squamous cell carcinoma of the right lower eyelid Planning CT Images Treatment Plan Images Treatment Planning Highlights Fractionation […]
Basal Cell Carcinoma of the Lower Left Eyelid

< View All Plan Studies CYBERKNIFE SYSTEM Basal Cell Carcinoma of the Lower Left Eyelid Case History AGE: 83-year-oldGENDER: Male Diagnosis: Recurrent infiltrating basal cell carcinoma of the left lower eyelid Radiotherapy tolerance: Grade II conjunctivitis, Grade II eye watering, Grade III dermatitis Planning CT Images Treatment Plan Images Treatment Planning Highlights Fractionation 50.4 Gy […]
Basocellular Carcinoma

< View All Plan Studies CYBERKNIFE SYSTEM Basocellular Carcinoma Case History AGE: 77-year-oldGENDER: Male Medical History Hypertension, ischemic heart disease, arteritis, arrhythmia, basal cell carcinoma of the right lower eyelid treated with Sonidegib followed by radiotherapy Diagnosis: Recurrent infiltrating basal cell carcinoma of the external auditory canal Planning CT Images Treatment Plan Images Treatment Planning […]
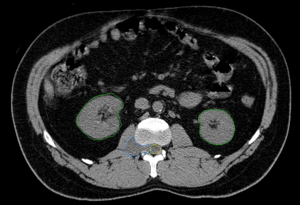
Adrenal Metastasis

< View All Plan Studies CYBERKNIFE SYSTEM Adrenal Metastasis of Right Kidney Cancer Case History AGE: 81-year-oldGENDER: Female Diagnosis: Oligometastasis in the left adrenal gland, following surgery for right kidney cancer, now with secondary metastasis Planning CT Images Treatment Plan Images Treatment Planning Highlights Fractionation 45 Gy in 3 fractions PTV(s) Volume PTV, 14.7 cc […]
Trigeminal Neuralgia

< View All Plan Studies CYBERKNIFE SYSTEM Trigeminal Neuralgia Case History AGE: 67-year-oldGENDER: Male Medical History Severe, lancinating pain in the right trigiminal nerve, refractory to the medical treatment. Symptoms started 5 years ago, progressively worsening Neurological Exam: No motor deficit, no sensory loss; sensory zones over right cheek and jaw MRI Brain: No evidence […]
Left Frontal Lobe Meningioma

< View All Plan Studies CYBERKNIFE SYSTEM Left Frontal Lobe Meningioma Case History AGE: 52-year-oldGENDER: Male Medical History Persistent lower back pain, paresthesia in the right groin fold MRI: Lesion compatible with a paraspinal meningioma measuring 4.1cm at the level of L1-L2 Planning CT Images Treatment Plan Images Treatment Planning Highlights Fractionation 25 Gy in […]
L1 – L2 Paraspinal Meningioma

< View All Plan Studies CYBERKNIFE SYSTEM L1 – L2 Paraspinal Meningioma Case History AGE: 52-year-oldGENDER: Male Medical History Persistent lower back pain, paresthesia in the right groin fold MRI: Lesion compatible with a paraspinal meningioma measuring 4.1cm at the level of L1-L2 Planning CT Images Treatment Plan Images Treatment Planning Highlights Fractionation 21 Gy […]
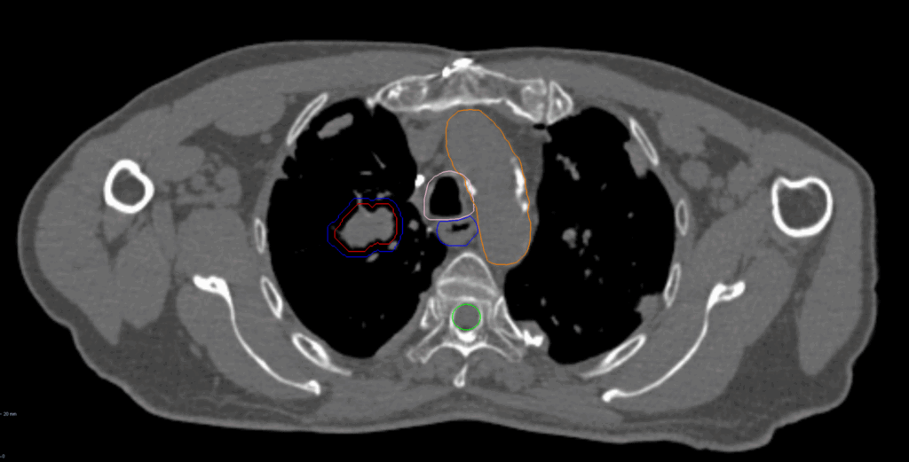
Right Central Lung Metastasis

< View All Plan Studies CYBERKNIFE SYSTEM Right Central Lung Metastasis Case History AGE: 62-year-oldGENDER: Male Medical History Chronic obstructive pulmonary disease (COPD), previous surgery on right lung Chest CT: Suspicious lesion in the right lower lobe PET-CT: hypermetabolic nodule, 3.1cm no evidence of regional or distant metastasis Non-Small Cell Lung Cancer (NSCLC), adenocarcinoma cT2aN0M0, […]
Liver Metastasis

< View All Plan Studies CYBERKNIFE SYSTEM Liver Metastasis Case History AGE: 68-year-oldGENDER: Female Medical History Rectal adenocarcinoma diagnosed and treated one year ago: Neoadjuvant chemoradiotherapy, surgical resection, adjuvant chemotherapy Follow-up PET-CT: solitary hypermetabolic lesion in the liver, measuring 2.9cm with no other lesion Planning CT Images Treatment Plan Images Treatment Planning Highlights Fractionation 45 […]
Left Upper Lobe Lung Metastasis

< View All Plan Studies CYBERKNIFE SYSTEM Left Upper Lobe Lung Metastasis Case History AGE: 64-year-oldGENDER: Male Medical History Chronic obstructive pulmonary disease (COPD), previous surgery on left lung Chest CT: Suspicious lesion in the left upper lobe PET-CT: hypermetabolic nodule, 1.8cm no evidence of regional or distant metastasis Hypertension and smoker with a 65-pack-year […]
8 Brain Metastases

< View All Plan Studies CYBERKNIFE SYSTEM 8 Brain Metastases Case History AGE: 56-year-oldGENDER: Male Medical History Small Cell Lung Cancer (SCLC), diagnosed and treated eight months ago: Chemotherapy and radiotherapy for the primary lung tumor. No prophylactic cranial irradiation was administered Follow-up MRI: 8 metastases in the brain Planning CT Images Treatment Plan Images […]
One Brain Metastasis

< View All Plan Studies CYBERKNIFE SYSTEM One Brain Metastasis Case History AGE: 65-year-oldGENDER: Female Medical History Small Cell Lung Cancer (SCLC), diagnosed and treated six months ago: Surgical resection of the primary lung tumor followed by adjuvant chemotherapy and radiotherapy Patient has been experiencing headaches, dizziness, and occasional balance issues MRI: metastasis in the cerebellum, […]
Prostate Ultra-hypofraction SBRT

< View All Plan Studies CYBERKNIFE SYSTEM Prostate Ultra-hypofraction SBRT Case History AGE: 73-year-old GENDER: Male Medical History Hypertension, hypercholesterolemia, appendectomy Favorable intermediate-risk prostatic adenocarcinoma (NCCN) Initial PSA (iPSA): 9 ng/ml Gleason Score: 3+3=6 (Grade Group 1) Stage: T2b Planning CT Images Patient treated feet first Treatment Plan Images Patient treated feet first Treatment Planning […]